Heart failure model could boost drug research

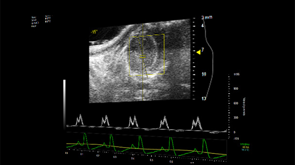
Scientists at the Miller School of Medicine have developed a model that replicates heart failure with preserved ejection fraction, which has very limited treatment options. The authors believe this new model will boost exploration and expand therapeutic choices for patients.
scientist-at-miller-school-of-medicine
You should be re-directed to the full story momentarily. If not, please visit https://physician-news.umiamihealth.org/heart-failure-model-could-boost-drug-research/.

Top